Computer Vision · Hackathon
Aorta Detection
Abdominal ultrasound → Mask R-CNN segmentation → 3D mesh reconstruction → aortic diameter estimation. Built for the BitsXLaMarató hackathon.
CV Pipeline
BitsXLaMarató hackathon · TV3 La Marató🎬
Ultrasound video
Load study, extract frames
🧠
Mask R-CNN
Instance segmentation per frame
🗂️
Mask stack
Binary TIFFs for 3D recon
🧊
3D mesh
ISO surface with Meshlib / Open3D
📏
Diameter
Contour analysis + heuristics
Mask R-CNN (PyTorch)OpenCVMeshlib / Open3DTkinter GUICustom annotationsCUDA inference
🔬
Simulated inference
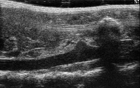
Browser mock · real B-mode frame
Mimics the real Mask R-CNN inference on a B-mode frame from the rat aorta dataset. The red overlay is a browser mock, not model output.
📏
Diameter explorer
Educational risk visualization
The app estimates aortic diameter from segmented contours. Drag to see how a measurement maps to educational risk buckets — not for diagnosis.
Max outer diameter28 mm
Typical range
Many adult abdominal aortic diameters fall well below 30 mm.
Illustration only. AAA management follows local guidelines and imaging context.
Project screenshots



Team
Pol Casacuberta · Tatiana Meyer · Pablo Vega · Ton Vilà
